Diabetic Retinopathy – Features of Diabetes : Hard Exudates RAMA pre and post laser - Retina Image Bank, Diabetic Retinopathy – Features of Diabetes : Hard Exudates
Diabetic Retinopathy – Features Of Diabetes : Hard Exudates

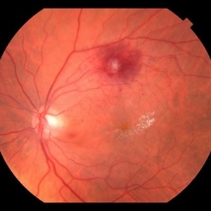
Diabetic retinopathy – features of diabetes : hard exudates. Exudates retinopathy evolve
RAMA Pre And Post Laser - Retina Image Bank
![]()
Exudates retinopathy evolve. Rama laser pre macroaneurysm retina ruptured srf
Rama pre and post laser. Diabetic retinopathy – features of diabetes : hard exudates. Rama laser pre macroaneurysm retina ruptured srf
